医院内装・設備

  1. TOP
  2. 医院内装・設備

YouTubeで
医院ツアー動画を公開中

当院の雰囲気や設備が分かる医院ツアーを
動画でご覧いただけます。

Equipment

最新の設備

    • Trios4 口腔内スキャナー(光学印象)

      Trios4 口腔内スキャナー(光学印象)

      快適で精密な診療を実現する最新スキャナー

      当院では、患者さまにより快適で質の高い診療を受けていただくため、3shape社製の最新口腔内スキャナー「Trios4」を導入しています。
      Trios4は、口腔内を正確にスキャンし、現在のお口の状態や治療の方向性を正しく把握できる高精度な機器です。

      対応している治療

      • ・自費診療の一部
      • ・インプラント
      • ・マウスピース矯正
      • ・自費の睡眠時無呼吸症候群用マウスピース(OA装置)
    • マイクロスコープ

      マイクロスコープ

      より精密で丁寧な治療を行うため、当院ではマイクロスコープ(歯科用顕微鏡)を導入しています。

      最大20倍の拡大視野で、肉眼では見えにくい部分まで確認できるため、より正確な診断と、精密な治療が可能になります。

      当院では2019年に1台目を導入し、2024年には患者さまの待ち時間を減らすため、2台目も導入しました。

拡大鏡を上回る拡大率を持つマイクロスコープにより、見る利点と必要性

マイクロスコープ
マイクロスコープ
マイクロスコープ

マイクロスコープを使うことで、深く進行した虫歯でも神経を残せる「歯髄保存」の可能性が高まります。従来のような根管治療を避け、歯の寿命をのばす選択ができるようになります。

また、以下のような治療にも活用されます。

  • ・セラミックを含む自然な詰め物の高精度な接着(ダイレクトボンディング)
  • ・肉眼では見えにくい初期虫歯や歯のヒビの発見
  • ・詰め物や被せ物の仕上げ精度の向上
  • ・補綴物の適合確認(見た目も噛み心地もぴったり)
  • ・インプラントや外科手術での精密操作(マイクロサージェリー)
  • Trios4 レーザー治療器「epic」

    レーザー治療器「epic」

    より質の高い治療を行うため、当院ではレーザー治療器《Epic》を導入しています。

    レーザー処置は、痛みが少なく・治りが早いのが特長です。
    麻酔なしでの治療が可能なケースもあり、通院回数の負担を減らしながら、快適に治療を受けていただけます。

  • 半導体レーザー照射器ホワイトニング応用例

    従来のオフィスホワイトニングでは、1時間の施術を1週間に2回、合計2時間必要でしたが、高速レーザーホワイトニングではレーザー照射により大幅な時間短縮が可能です。レーザーの照射時間は合計でわずか4分間で、施術前の歯のクリーニングや歯ぐきの保護、施術後のフッ素ケアも含めて、すべてを1時間で完了できます。

  • プラズマ照射器 Plasmapp  ACTILINK Reborn

    プラズマ照射器 Plasmapp ACTILINK Reborn

    インプラントの表面は、空気中の汚れ(炭化水素)が付着しやすく、そのままだと骨としっかり結合できる面積が約50%にとどまると言われています。

    当院では、この問題を解決するために*プラズマ照射装置《Plasmapp》*を導入しています。

    プラズマの力でインプラント表面の汚れを除去し、骨との結合力を約95%まで高めることが可能になります。

    より高い成功率と、長く安定したインプラント治療を実現する、先進の技術です。先進の技術です。

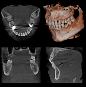
  • 歯科用3D・CT
    歯科用3D・CT

    歯科用3D・CT

    当院では、より安全で正確な診断と治療を行うために歯科用3D・CTを導入しています。

    CTX線の照射量を抑えることで、従来よりも最大40%の被ばく量を軽減できる設計になっており、患者さまの身体への負担も最小限に抑えられます。全国でも導入率がまだ5%ほどの先進機器で、2Dのレントゲンでは確認できなかった情報も立体的に把握できるため、インプラント治療や神経の治療、親知らずの抜歯などにおいて、より高い安全性と確実性をもった治療を可能にします。

  • 電動エンドモーター(トライオートZX2)

    電動エンドモーター(トライオートZX2)

    熟練した術者の手指の繊細な動きを再現するこの機器は、歯の根の内部(根管)の清掃や消毒といった根管治療を、よりスピーディーかつ精密に行うことを可能にします。手作業では難しい複雑な形状の根管内にも対応できるため、治療の確実性が高まり、再発リスクの軽減や治療期間の短縮にもつながります。当院ではこの機器を活用し、できるだけ歯を残す、質の高い根管治療を提供しています。

  • SmartLite Pro EndoActivator Endodontic Activation System
    SmartLite Pro EndoActivator Endodontic Activation System

    SmartLite Pro EndoActivator
    Endodontic Activation System

    熟練した術者の繊細な動きを再現し、根管内をより速く、正確に清掃・消毒できる機器です。楕円運動によって約150倍のバクテリア除去力を発揮し、根の中を効果的に洗浄。治療の成功率を高め、再発リスクの軽減にもつながります。

  • 筋電計

    筋電計

    当院では、最新のくいしばり計測装置を導入しています。
    たった20秒で、噛む力の強さを簡単にチェックできます。

    噛む力が強すぎると、次のような症状を引き起こすことがあります。

    • ・咀嚼筋の筋筋膜痛(あごの痛み)
    • ・歯の破折、詰め物や被せ物の脱離・破損
    • ・肩こり・頭痛など全身の不調

    自覚症状がなくても、早めの診査・診断でリスクを可視化し、あなたに合った治療を選ぶことができます。

Unit expansion

ユニット増設

ユニット
ユニット
ユニット

「予約が取りづらい」というご意見にお応えし、診療ユニットを3台から4台に増設いたしました。
可動式パーテーションで半個室空間を確保し、プライバシーに配慮しながら、急患対応や待ち時間の短縮を目指しています。

こうした細かな処置が可能になることで、治療の質が大きく向上します。

  • エントランス

    エントランス

    エントランスドア横には自転車や、スクーターなど駐輪できます。

  • 受付

    受付

    アロマの香りで空気を清浄し、リラックスできる空間を整えています。
    歯科医院特有のにおいも軽減しています。

  • 待合室
    待合室

    待合室

    待合室にほんわかと光っているコレですがヒマラヤ岩塩ランプ(ソルトランプ)です。
    ランプのもとになるのは2億5千万年前のヒマラヤの麓、地下1,500mから発掘される自然岩塩です。
    神秘的な癒しの光とパワーをもたらし、マイナスイオンを放出してますので、少しでもリラックスして診療を受けていただけたらと思います。

  • 診療室

    診療室

    個室もご用意しております。(費用かかりません)

  • カウンセリングルーム
    カウンセリングルーム

    カウンセリングルーム

    こちらで診療の写真診断、術中、術後の写真などをご覧頂きながらご説明致します。

  • 院内技工室

    院内技工室

    義歯の修理や最終的な歯の審美的形態の作製の為の仮歯、ホワイトニングトレーや、マウスピースなど、個人にあった調整、作製を致します。

  • デジタルX線

    デジタルX線

    従来のX線の1/10程度の放射線量に抑えられます。

  • 口腔内カメラ

    口腔内カメラ

    こちらで毎回の診療で治療中の経過の写真をお撮りして、ご覧頂きます。

  • 拡大鏡

    拡大鏡

    裸眼では見えない虫歯や亀裂などを見落とさず、精密な治療を行えます。
    この拡大鏡を全ての患者さんに使用しております。

  • ハンディジェット

    ハンディジェット

    歯に対してダメージが少ない細かい粒子を吹き付けて歯の着色汚れや、タバコのヤニを除去する器械です。

  • BRILLICA(ホワイトニング用光照射器)

    BRILLICA(ホワイトニング用光照射器)

    オフィスホワイトニングの時に使用します、ホワイトニング専用の光照射器です。
    お口に固定できるので、多少動いても光の位置が変わらず効果が安定します。

  • 自動体外式除細動器(AED)ライフパックCR Plus

    自動体外式除細動器(AED)ライフパックCR Plus

    地域医療として、万が一の時の為にAEDを設置しております。

  • フリーアーム (口腔外バキューム)
    フリーアーム (口腔外バキューム)

    フリーアーム (口腔外バキューム)

    詰め物・被せ物などの調整時に出る目に見えない細かい削りかすは、フリーアームという大きい音のする掃除機のようなもので吸い込み室内の空気をきれいに保ちます。全診療椅子に完備されています。

  • 自動シリコン印象練和器

    自動シリコン印象練和器

    精密な型取りする材料を自動で練和しますので、手で練るより効率が良く精度が高まります。

  • 高圧蒸気滅菌器(オートクレーブ)
    高圧蒸気滅菌器(オートクレーブ)

    高圧蒸気滅菌器(オートクレーブ)

    オートクレーブという滅菌器で、高温;高圧力をかけ、ウイルス等を完全に死滅させます。