ホワイトニング

  1. TOP
  2. ホワイトニング

whitening

ホワイトニング

  • 生活スタイルに合わせたホワイトニングが可能

    ホワイトニングには自宅で行うホームホワイトニングと医院で行うオフィスホワイトニングの2種類と、神経が死んでしまって黒ずんだ歯を白くするウォーキングブリーチ。さらにホームホワイトニングとオフィスホワイトニングを併用し、効果を高めるデュアルホワイトニング、デュアルホワイトニングバイタルがあります。

whitening Treatment

当院で出来る
ホワイトニング

  • ホームホワイトニング(HW)

    • オーダーメイド カスタムトレー

      オパールエッセンス10%、オパールエッセンス15%

      オパールエッセンス10%、オパールエッセンス15%

      ティオンウィズ(約16.6%)

      ティオンウィズ(約16.6%)

    • 既成トレー型ホワイトニング

      オパールエッセンスGO

      オパールエッセンスGO

  • オフィスホワイトニング(OW)

    • LaserWhite 20 レーザー高速ホワイトニング

      LaserWhite 20 レーザー高速ホワイトニング

  • デュアルホワイトニング(DW)

    • デュアルホワイトニング(DW)
      プラスマーク
  • ウォーキングブリーチ(WB)

    • ウォーキングブリーチ(WB)
  • デュアルホワイトニングバイタル(コンバインド・ブリーチング・フォーバイタルディスカラードティース) [ CBV ]

    神経の生きている変色歯のオフィスホワイトニングとホームホワイトニングの併用

    • デュアルホワイトニング(DW)
      プラスマーク

whitening Features

ホワイトニングの
特徴

  • 美しさは健康から、健康は美しさから

    歯の治療が終わった後、定期的なメンテナンスに移行して予防に取り組むのは今や常識です。お口の中の健康を手に入れたのなら、次は見た目をきれいに、美しくしてみてはいかがでしょうか?白い歯は清潔で健康的な印象を与え、またそれはあなた自身の予防の継続のモチベーションにもつながります。お口の中の健康を維持しつつ、ホワイトニングで笑顔が映える白い歯を手に入れませんか?

  • ホワイトニングってなに?

    ホワイトニング治療とは、特殊な薬剤を塗布し、歯を削らずに白くする治療です。最近では、女性だけでなく男性でも受けられる方が増えてきています。ブライダル、面接、大切な商談などあらゆるシーンで口もとの印象は大きなポイントになっています。ホワイトニングに興味のある方は、まずはお気軽にご相談ください。

  • 痛くないの?しみないの?

    ホワイトニングに対して、「痛くないか。しみないか。」などの不安を抱えていらっしゃる方が多いと思います。知覚過敏の症状が出る方がいらっしゃいますが、それは一時的のものです。当院で行うオフィスホワイトニングは厚生労働省の認可を受けた薬剤を使用しており安全ですので、ご安心ください。また、光を照射するホワイトニングをご希望の際は、歯肉を守る専用のジェルを塗布して施術を行っており、出来る限りのお痛みの軽減に努めています。ホームホワイトニングでは、凍みにくい10%濃度のホワイトニングジェルと、よりホワイトニング効果の高い15%濃度のホワイトニングジェルをご用意しておりますので、無理なく白い歯を手に入れることが出来ます。

  • 効果はどのくらいもつの?

    効果がどのくらい持続するかは個人差がありますが、三ヶ月~半年ごとに定期的なメンテナンス・ホワイトニングを行うことで歯の白さを保つことができます。
    当院が最もおすすめしているのは、医院で行うオフィスホワイトニングとご自宅で出来るホームホワイトニングを併用して行うデュアルホワイトニングです。この方法は、オフィスホワイトニングで白くした歯の白さを定期的なホームホワイトニングでキープするため、白さをより長く保つことができます。短期間で最も効果的に歯を白くすることが出来るため、現在では多くの方がこの方法を選ばれています。

  • どうして白くなるの?

    白くなるメカニズム

whitening type

ホワイトニングの
種類

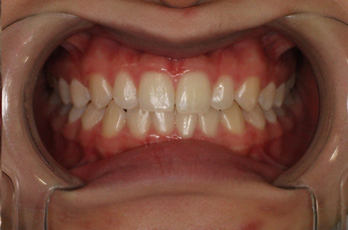
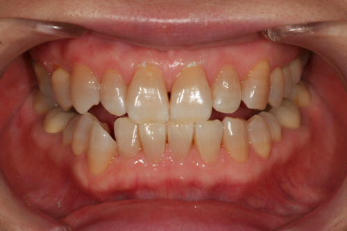
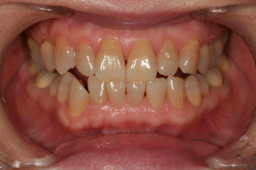
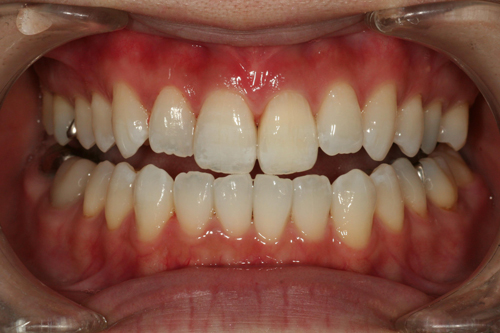
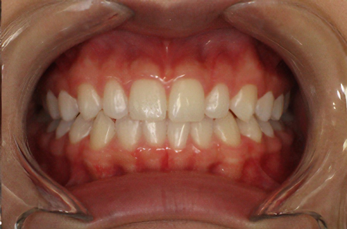
  • 1.オフィスホワイトニング

    すぐに効果を実感したい方におすすめ!

    医院にて薬液を作用させ、歯を白くしていきます。
    1回の通院から白くなりますが、色戻りはホームホワイトニングに比べると早いです。

    メリット
    • > 1回でかなりの効果が期待できる
    • > 何かあればすぐに医師に相談できる

    従来のオフィスホワイトニングは、1時間のオフィスホワイトニングを、1週間で2回のトータル2時間必要でした。
    高速レーザーホワイトニングでは、レーザー照射により、大幅に時間短縮を可能にしております。

    半導体レーザー
    半導体レーザー

    レーザーの照射時間はトータル4分間。もちろん、レーザー照射前に歯のクリーニング、歯肉にダメージが無いように保護する準備、ホワイトニング後のフッ素ケアも行いますので、お時間は1時間頂戴致しますが、1時間で完結します。

    薬剤
    オパールエッセンス10%、オパールエッセンス15%

    薬液

    ティオンウィズ(約16.6%)

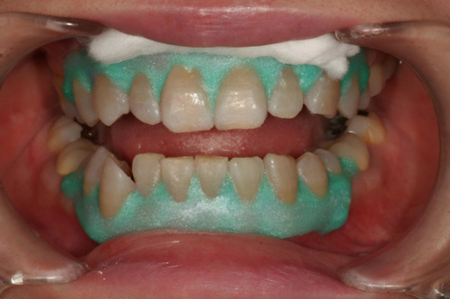
    緑の保護剤を塗ったところ

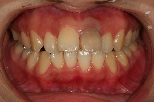
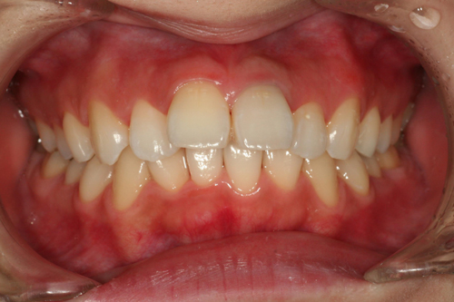
    症例
    治療前

    治療前

    治療後

    治療後

    ※ホワイトニングの効果には個人差があります。

    • 治療内容:ホワイトニング薬液を歯面に塗布し、半導体レーザーを照射することで薬液を活性化させて歯を白くする。
    • ホワイトニング薬液を歯面に塗布し、半導体レーザーを照射することで薬液を活性化させて歯を白くする。
    • リスク:一時的に沁みることがある。歯の白さには個人差がある。詰め物などは色が変化しない。施術後24時間以内に食事制限がある。
    • 副作用:一時的に沁みることがある。
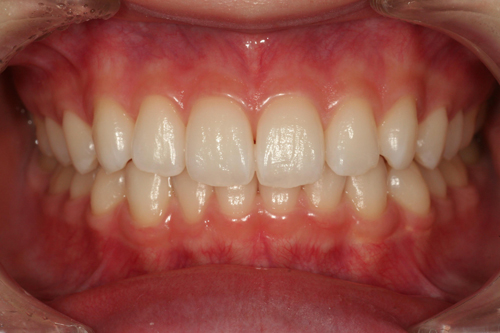
  • 2.カスタムホームホワイトニング(期間2週間)

    自分のペースで無理なくやりたい方におすすめ!

    自分に合ったカスタムトレーを作り2週間ほど夜間に薬液を入れたトレーを装着していただきます。
    オフィスホワイトニングに比べ透明感のある白さを得ることが出来ます。

    メリット
    • > カスタムトレーなので、違和感が少ない
    • > 半年後など、再度ホワイトニングする場合に費用を抑えられる
    治療の流れ
    • ホワイトニング剤を塗布するマウスピースの型を取ります。

    • 型取りした次回来院時に、ホワイトニング該当歯をクリーニングして、マウスピーストレーとホワイトニングの薬をお渡しします。

    • マウスピースにホワイトニング剤を注入し、お口に装着します。2時間から6時間程度薬を入れたマウスピーストレーを装着して頂くだけ。
      (通常は、夜間就寝時に装着をお勧めしております。夜間装着したままで、ご就寝ください。)

    • 使用後はマウスピースを洗浄して、歯もちゃんと磨いてください。

      ※ホームホワイトニングは沁みにくい薬液10%濃度のホワイトニングジェル、と効果の高い15%濃度のホワイトニングジェルをご用意しております。

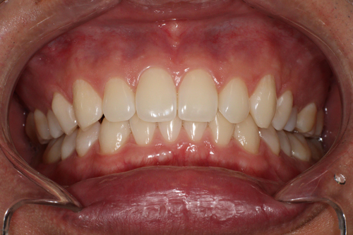
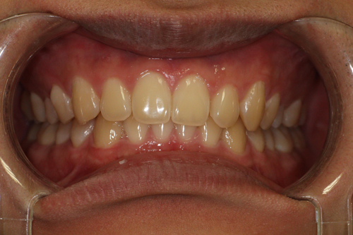
    症例
    治療前

    術前

    治療後

    術後

    ※写真は術前クリーニングとホームホワイトニング1週間の症例

  • 3.即日お渡しホームホワイトニング(期間90分×10日間)

    短期間でやりたい方におすすめ!

    歯型トレーでホワイトニング薬剤が染み込んだシートを歯に1回 90分を10日間行います。

    メリット
    • > 矯正中や、歯科治療中でもできる
    • > 90分間なので、着用時間が短い
    • > 10日間で終了
    • > カスタムトレー製作無しで、即日お渡し
    歯型トレー
    治療の手順

    現在の歯の色の撮影と、歯の表面のクリーニング

    実際に歯型トレーを使い、装着方法のコツをお伝えします。

    症例
    治療前

    治療前

    治療後

    治療後

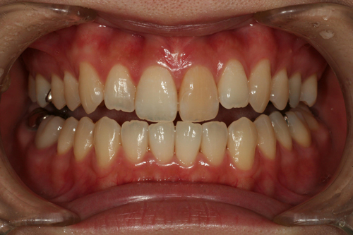
  • 4.デュアルホワイトニング(オフィスホワイトニングとホームホワイトニングの併用)

    症例
    治療前

    術前

    治療後

    術後

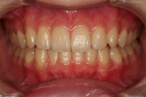
  • 5.デュアルホワイトニングバイタル(コンバインド・ブリーチング・フォーバイタルディスカラードティース) [ CBV ] 
    (神経の生きている変色歯のオフィスホワイトニングとホームホワイトニングの併用)

    デュアルホワイトニング・フォー・バイタルディスカラードティース(コンバインド・ブリーチング・フォーバイタルディスカラードティース)の略でCBVという、黒田敏樹オリジナルのホワイトニング手法で、神経の生きている歯の変色に対応するホワイトニング方法です。

    【自費診療:CBV(82,500円)】

    症例
    治療前

    術前

    治療後

    術後

  • 6.ウォーキングブリーチ

    神経が死んでしまったところに薬液を内部より作用し白くしていきます。
    1週間おきの3回程度の治療で終了します。

    症例
    治療前

    術前

    治療後

    術後

whitening Qualification

ホワイトニング
コーディネーターの
認定歯科衛生士

  • ホワイトニングコーディネーターは、日本歯科審美学会が認定する歯科衛生士のための資格です。歯のホワイトニングは2000年ころから認知されるようになってきましたが、提供される情報は正しいものだけとは限らず、誤った情報も多く、何が正しい情報なのか分からなくなっていました。

    そこで国内における審美歯科を牽引する日本歯科審美学会が制定したのがホワイトニングコーディネーター制度です。ホワイトニングの正しい知識を伝えて、日本におけるホワイトニングの普及を目的に2007年に誕生しました。

    黒田クリスタル歯科 吉祥寺では、ホワイトニングコーディネーターの認定書を持った歯科衛生士がホワイトニングを担当しております。

Fee

価格

  • レーザー高速オフィスホワイトニング
    (前後クリーニング、フッ素塗布込み、60分完結)
    55,000円
    ウォーキングブリーチ 1回あたり
    (前後クリーニング、フッ素塗布込み)
    1,650円程度
    ホーム 片顎 27,500円
    ホーム 上下顎 49,500円
    日お渡しホームホワイトニング 44,000円
    デュアルホワイトニング
    (オフィスホワイトニング2回+ホームホワイトニング上下)
    82,500円
    コンバインド・ブリーチング・フォーバイタルディスカラードティース)CBV
    (変色歯のオフィスホワイトニング2回+ホームホワイトニング上下2週間分+変色歯ホワイトニング)
    82,500円

    ※ホワイトニングの効果には個人差があります。

    • リスク:一時的に沁みることがある。歯の白さには個人差がある。詰め物などは色が変化しない。施術後24時間以内に食事制限がある。
    • 副作用:一時的に沁みることがある。

Achievements

活動実績

当院院長は、セミナー講師や書籍執筆などを通じてホワイトニング治療に関する情報発信を行っています。
その豊富な知識と実績をもとに、確かな根拠に基づいたホワイトニング治療をご提供しています。

  • メディア

    • ウェビナー 講師
      歯科医療従事者向けセミナー講演 ホワイトクロス ウェビナー:最新医療ホワイトニング ウェビナー 14種類のホワイトニング剤を一括比較 講師 2025.5月

      歯科医師、歯科衛生士向けに、認可最新医療ホワイトニング2025についてをWEBセミナーを行いました。

      ウェビナー講師7-1
      ウェビナー講師7-2
    • ウェビナー 講師
      歯科医療従事者向けセミナー講演 ホワイトクロス ウェビナー:医療ホワイトニング ウェビナー 講師

      歯科医師、歯科衛生士向けに、医療ホワイトニングについてをWEBセミナーを行いました

    • 歯科医師、歯科衛生士向けの医療ホワイトニングについてのWEBセミナーにて講師を務めました

      歯科医師、歯科衛生士向けの医療ホワイトニングについてのWEBセミナーにて講師を務めました
  • 本・雑誌

    • 【医療ホワイトニング 説明ブック】2024.6.4発刊、2025.12.15増版、第2版

      ホワイトニングの教科書となれる書籍
      ホワイトニングの基本から、治療前、治療中、治療後の疑問もコレで解決! 歯科衛生士、歯科医師のホワイトニング知識アップデートとなる書籍の中の4ページを黒田敏樹が執筆致しました。