審美歯科
- TOP
- 審美歯科
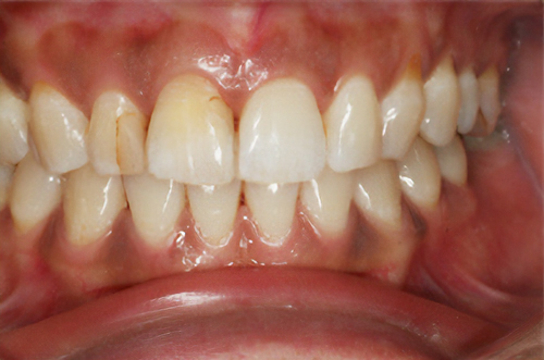
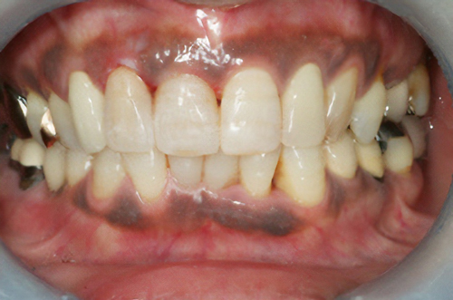
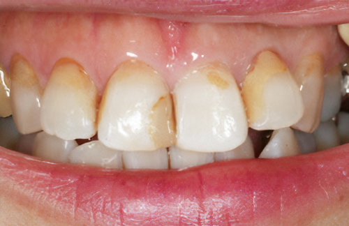
About Gum Peering
ガムピーリングに
ついて
-
ガムピーリング
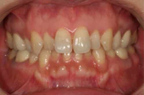
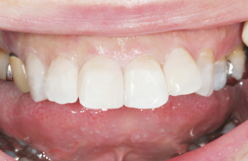
黒ずんだ歯肉の色をお薬で、キレイなピンク色の歯肉にします。
塗り薬の麻酔と薬液だけで10分程度、2回の治療でキレイなピンク色に。-
術前
-
術後
-
-
価格
- > ガムピーリング:上下歯肉2回分 33,000円
※ガムピーリングの効果には個人差があります。
-
リスク
- > 一時的に沁みることがある。
- > 個人差がある。
- > 色素が深い場合は変化しない部位が残ることがある。
副作用:一時的に歯肉が沁みることがある。1週間程度歯肉は白くなる。
Botulinum Therapy
for
Jaw Muscle Relaxation
ボツリヌス
咬筋力緩和療法に
ついて
-
ボツリヌス咬筋力緩和療法
食い縛り計測(筋電計)を行い、数値が高く、被せ物や歯牙の破折やその恐れがある方、顎関節症状のある方が対象。
噛む力が強すぎると、以下の症状を引き起こす恐れがあります。- > 咀嚼筋の筋筋膜痛
- > 歯牙破折、被せ物の破損や脱離
- > 肩こり、頭痛など、様々な症状
これらに対して、原因となる咬合力の緩和をはかるボツリヌス咬筋力緩和治療です。
-
価格
左右咬筋へ計50単位ボツリヌス注射 1回
(筋電計検査 1回分含む)> 33,000円
-
歯科ボツリヌス療法の法的概念
歯科診療におけるボツリヌストキシン注射が法律的に認められる理由は、以下のような法的・医療的根拠に基づいています(※日本国内の場合を想定)
-
1.医師法・歯科医師法による業務範囲の明確化
歯科医師法第1条:「歯科医師は、歯科医業をなすことを業とする」
この「歯科医業」には、咀嚼・発音・審美など口腔・顎顔面領域の機能と形態の回復も含まれます。
ボツリヌストキシンは、咬筋肥大、歯ぎしり、顎関節症などの治療に応用されており、これらは歯科医師の専門領域に該当します。 -
2.厚生労働省の通知と見解
厚労省は、歯科医師がボツリヌストキシンを用いる場合、「歯科医業の範囲内であること」「適応症が明確であること」「安全な研修・体制が整っていること」などの条件を満たす必要があるとしています。
美容目的のみの場合は注意が必要ですが、機能回復や治療目的であれば合法とされています。 -
3.使用例が歯科領域の医療行為であること
以下、具体的に歯科医師が行っているボツリヌストキシン治療例
- > 咬筋肥大症の改善(顔貌のバランス)
- > 顎関節症の筋緊張の緩和
- > 歯ぎしり・食いしばりの緩和
- > ガミースマイルの改善
これらはいずれも「診療」としての歯科医業の範囲内にあり、審美面だけでなく機能的改善を目的とした治療として位置付けられています。
-
1.医師法・歯科医師法による業務範囲の明確化
-
日本歯科ボツリヌス協会
常任理事 指導医 黒田敏樹
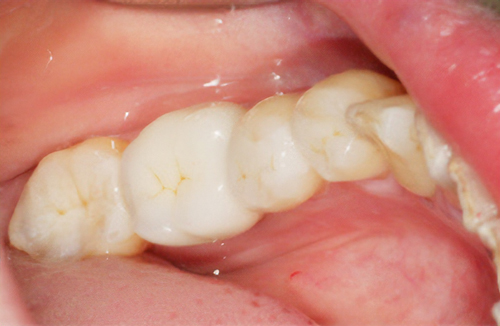
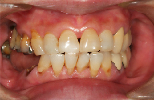
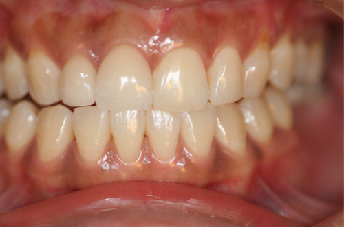
All Ceramic
オールセラミック
-
色調と透明感に優れる材料
金属を使用せず全てセラミックで作るので光を透過し、自然な色調、透明感を再現できます。
-
術前
-
術後
-
-
価格
> 55,000円~165,000円
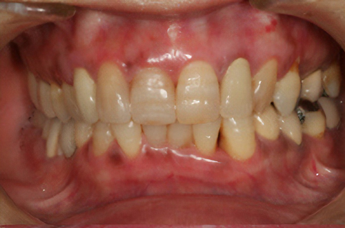
BTB Technique
BTAテクニック®
(審美セラミック、
救歯セラミック)
-
歯の形、歯並び、歯肉ラインが整う美しい口元
大掛かりな歯ぐきの手術や装置を使った矯正治療を行わずに、たった2回で歯並びをきれいに整えることができます。
-
術前
-
術後
-
-
BTAテクニック® とは
従来のセラミックで治すオールセラミックという被せ物や、セラミックを張り付けるラミネートべニアという方法に、歯科医師と歯科技工士の双方の手法と技法を癒合させることで、可能とした 歯ぐきのラインを2回の来院で、綺麗に仕上げ、歯の見た目も審美的に出来るテクニックのことである。
BTAテクニック® 以外の一般的な治療で歯ぐきのラインを整えるには、歯ぐきを切り、骨を削る手術をすれば可能ですが、歯ぐきの治りに数か月の期間が必要です。もしくは、矯正治療によって、歯並びを改善する方法、もしくは神経を抜いて、被せ物をするしかありません。
BTAテクニック® を用いると、歯ぐきや骨への手術が必要ない為に、治療期間が短縮でき、2回の来院で完了できるメリットがある。 また、この方法を用いることで、年々歯ぐきが下がって見た目が悪くなるということが起きにくくなる。歯周ポケットと言われる溝が浅くなり、歯ブラシが容易になる。などの利点が挙げられる特殊なテクニックである。
また、救歯BTAセラミックは、BTAテクニック®が持つ成功する理由(*)から、深い位置まで虫歯が進行してしまって歯を抜かないとならない歯に応用する事で、抜かずに治療することが出来る場合がある。
症例によっては、BTAテクニック® , 救歯セラミックが適応出来ない場合があります。 また、この方法を用いることで必ず歯が残せるという治療方法ではありません。
-
-
価格
> 1歯 165,000円
About Tooth-Saving MTM
救歯MTMについて
-
救歯MTM
虫歯が大きくて残せない歯、転倒などの事故により歯が根の深いとこで折れてしまったなどで、抜かざるを得ない歯を、骨の中に埋まっている健全な根を、骨の上に矯正的に引き上げることで、その歯を抜かず温存、救歯できる可能性のある治療方法です。
この特別な診療である救歯MTMは、以下のような特徴があります。
-
①健全な歯を、歯肉から見える位置にまで引き上げることで
根の治療の成功率を上げることが出来る。唾液には沢山の細菌がいます。唾液が入らない環境での根の治療を(神経の治療)を行うことで神経の治療、根の治療の成功率は格段と上がります。
-
②骨の上にある歯と土台で支える被せもの製作できる。
被せものを土台だけに頼ることなく、引き上げた健全な歯でも支えることで、歯への被せ物がしっかりと装着できるようになる。
-
③抜かずに歯を活かすことで、隣の歯を削るブリッジやインプラントにしないで済むことがある。
歯を矯正的に引き上げることで、その歯を救歯できるだけでなく、隣の歯を削るなどの侵襲を回避できる場合がある。
-
救歯治療と審美性の両立
当院では様々な治療の基礎に審美と機能の両立というテーマがあります。
-
学会発表ポスター
PDFダウンロードはこちらから -
リスク
- > 歯を矯正的に引き上げることで、骨の中の根の長さは短くなりますが、その短さでも安定するという診断をした場合のみ施術になります。 残せる歯、根の長さが短い場合は、この救歯MTMの治療対象とならない場合がございます。
- > 治療期間が数か月~1年に及ぶ場合がある。
- > 費用が自費診療 44,000円 ~ 66,000円
- > 救歯MTMは救歯BTAセラミックと併用治療が必要な場合があります。
-
症例
-
Hybrid Ceramic
ハイブリッド
セラミック
-
噛み合う歯にやさしい
レジンという樹脂とセラミックで作られ、セラミックほど硬くはなく、噛み合う歯にやさしいと言えます。セラミックを含むことで、十分強度を得ており自然な色調を再現でき、また変色もしにくくなっています。
-
術前
-
術後
-
-
価格
> 44,000円~55,000円
Direct Bonding
ダイレクト
ボンディング
-
自然な色調と艶
虫歯だけを削り、従来の変色してしまう材料ではなく、セラミックを50%含む材料で自然な色調と艶を再現。
-
術前
-
術後
-
-
価格
> 1箇所11,000円から
Smile Denture
スマイルデンチャー
ノンメタルクラスプ
デンチャー
-
目立ちにくい 審美義歯
通常の入れ歯に使われるような、金属色のバネを使わず、歯肉の色に合わせたピンク色の柔らかい入れ歯で、入れ歯と気づかれにくい審美義歯です。
-
術前
-
術後
-
-
価格
バルプラスト
132,000~275,000円
※入れ歯は大きさにより価格は前後いたします
News
-
医院からのお知らせ
-
院長ブログ: