小児歯科

  1. TOP
  2. 小児歯科

About Pediatric Dentistry

小児歯科について

  • 歯科医院に慣れるトレーニングから

    小さなお子様は治療をとても嫌がったりして大変ですが、ムシ歯は放置していると、進行するだけで治るということはありません。
    歯医者さんが初めてのお子様は、いきなり治療せず、まず歯科医院に慣れるトレーニングから始めます。また、普段からお子様にとって良い歯を保てるように、予防が大切と考えております。黒田クリスタル歯科では夏休み、冬休み、春休みのフッ素塗布による予防をお勧めしております。フッ素塗布は保険が利かず一般的に1,000円から3,000円かかりますが、当院は無料で行っております。

    歯科医院に慣れるトレーニングから
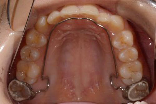
  • 予防矯正
    歯並びの改善や、筋機能改善
    (適応年齢3~17歳程度)

    歯ならびだけでなく、口の周りや舌の筋肉の機能の改善。正常な成長発育を促す予防的な矯正治療。

    【自費診療:プレオルソ(55,000円~), 床矯正, その他装置 77,000円~】

    • 予防矯正
    • 予防矯正
    • 予防矯正
    • 予防矯正
    • 予防矯正