インプラント

  1. TOP
  2. インプラント

About Dental Implants

インプラント
について

  • 自然歯の美しさ

    インプラントとは、歯を失ってしまったところににチタン製の人工歯根を植立し、歯根の代わりとし、その上に被せ物を装着する一般的な治療です。この治療法により隣接歯にダメージを与える事なく、ご自分の歯と同様の外観と噛めるという機能を得る事が可能です。米国、欧米、アジアなど40か国以上で仕様されているハイオッセンのインプラント、他にストローマングループブランドのNeodentインプラントを使用することもあります。世界でも日本でもトップシェアのストローマングループのNeodentインプラントは南米エリアではNeodentがトップシェアとなり、世界95ヵ国で年間400万本以上の販売本数、30年以上の歴史があるインプラントです。

    自然歯の美しさ
  • WE USE PRODUCT FROM

    hiossen implant
    neodent
  • ただ単にインプラントを入れる時代は終わりました

    さらなる長い年月で考えた成功率を高める為に、最先端医療機器Plasmappの導入

    インプラント治療であるチタン製の人工歯根を植立する治療方法。 専門工場でチタンを加工してインプラントを製造し完成する過程で、大気中の炭化水素がインプラント表面に付着してします。

    この炭化水素はインプラントの表面は平均50%程度が炭化水素で隠れてしまいます。

    この炭化水素には骨が付きません。

    50%の炭化水素がインプラント表面を隠しているということは、インプラントの表面に骨が50%だけくっつくということです。 インプラントの50%にしか骨が付いていなくとも90%以上のインプラント成功率ではありますが、このプラズマ照射するPlasmappは、インプラントと歯槽骨の結合が従来は約50%程度しかないものを約95%まで上げる特別なプラズマ照射機器です。

    インプラントの骨結合率が50%程度だったのを95%程度まで上げたら成功率が2倍になり、インプラント治療がより安心安全に提供できるようになるのです。

    医療先進国ドイツで承認を受けたこの最先端技術を、黒田クリスタル歯科 吉祥寺で導入致しました。

    サージテルがもたらす“別世界”に何があるのか サージテルがもたらす“別世界”に何があるのか
  • 審美面も機能面でも回復

    インプラントとは、失ってしまった歯の代用として、人工歯根=インプラントを埋め込む方法です。この人工歯根の上に、セラミックなどの被せ物を装着することで、審美面も機能面でも回復する方法です。

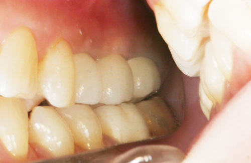
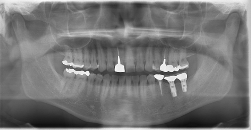
  • 術前術後のレントゲン写真

    写真向かって、右下の奥歯が割れてしまっているので、抜歯し、そこに人工歯根として、インプラントを埋め込んだレントゲン写真です。

    • 術前

      術前

    • 術後

      術後

    • 術前

      土台

    • 術後

      術後

  • 価格

    CT撮影
    (二回目以降半額)
    11,000円
    手術 1回 55,000円
    インプラント
    1本埋入
    165,000円
    土台 55,000円
    被せ物 165,000円
    ソケットリフト
    ・抜歯即時
    55,000円〜
    サイナスリフト 110,000円〜
    骨造成
    ・骨造成手術
    11,000円〜
  • インプラント治療のリスク

    インプラントは手術が必要となります。

    • > 糖尿病、骨粗鬆症、 喫煙はインプラントの成功率に大きく関わります。
    • > 術後の腫れ、痛み、青あざ まれに口唇のしびれ、鼻血などが出ることがあります。
    • > インプラントが骨と結合しない場合があります。 この場合、可能であれば時期をみて再度埋入するか、できない場合は他の治療方法をご提案させて頂きます。
    • > インプラントに過度な力が加わったり、インプラントの周囲の炎症が続くとインプラントが脱落することがあります。 防止するためにマウスピースの装着を勧めることがあります。
    • > 骨や歯肉の薄い方、 少ない方ではインプラントの金属部分が見えることが、短期間 また長期的に起こる場合があり、見た目の審美が低下する場合があります。